心血管内科

“以前走几步就喘,现在像换了颗心。没想到一个小夹子帮我解决了大问题,谢谢蒋主任和所有的医生护士!”10月29日,是35岁的林勇(化名)从长沙市中心医院(南华大学附属长沙中心医院)康复出院的日子,他高兴地和医护人员道别,感谢他们帮助自己重返正常生活。
据林勇表示,自己近5年来总感到心累、气促、胸闷,辗转多家医院治疗但症状均未得到缓解,最后在父亲的陪伴下来到长沙市中心医院心血管内科,诊断为心脏瓣膜病,二尖瓣脱垂伴关闭不全,二尖瓣返流引发的慢性心功能不全急性加重,随即安排入院并完善相关检查。
“根据心脏磁共振提示,患者全心扩大,二尖瓣前叶部分脱垂并关闭不全(重度)左室整体收缩功能重度减低(LVEF27%),当务之急就是要解决二尖瓣返流情况,但患者目前的心功能情况如果进行传统体外循环下的开胸手术风险极高,很可能无法耐受。”心血管内科主任、主任医师蒋路平介绍。
针对患者的病情,蒋路平主任牵头组织心胸外科、麻醉科、超声科等多学科专家开展联合会诊。专家们围绕林勇的病史、心功能指标、影像检查结果反复研讨,充分评估手术治疗方式及风险。经过多轮论证,团队最终确定了微创个性化治疗方案 —— 经导管二尖瓣钳夹术(TEER)。
术前,超声科聂红军教授运用全数字化高端心脏彩色多普勒诊断仪,为患者进行食道三维超声综合评估,确定了二尖瓣返流量及返流分区。同时,在手术中实时监测二尖瓣瓣叶返流区与钳夹器的位置是否吻合,术后还可即刻探查二尖瓣返流量减少情况,如果把手术比作开车,那超声科就是手术的导航系统。
术中,蒋路平主任团队在经食道超声引导下通过股静脉穿刺房间隔将二尖瓣钳夹系统送入患者左心房到达二尖瓣口,然后医生全程在经食道超声引导下通过评估二尖瓣返流位置以及返流程度等精准夹合二尖瓣叶,整个过程都是在心脏不停跳的情况下完成。

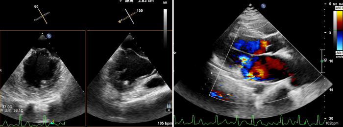
术前心脏彩超所示:二尖瓣返流

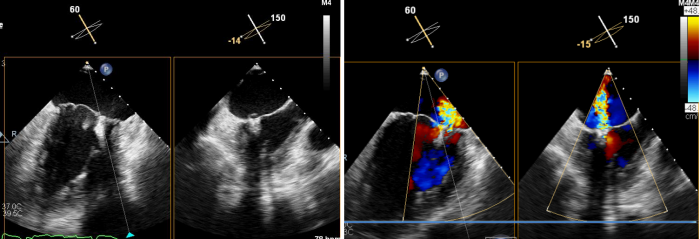
术后心脏彩超所示:二尖瓣无返流
术后,患者二尖瓣返流情况得到了明显改善,其他各项生理指标也均正常,术后第二天即可下床活动,呼吸困难和乏力症状显著缓解,心脏负荷明显减轻。术后心脏彩超结果显示,其左室射血分数上升到62%,生活质量获得极大提升。
“经导管二尖瓣钳夹术以微创、恢复快、创伤小的优势,为不宜开胸的高危患者提供了全新治疗路径。这一技术的成功实施,标志着长沙市中心医院在结构性心脏病介入治疗领域迈入国内先进水平,也为更多瓣膜病患者点燃‘心’希望。”蒋路平主任表示,经导管二尖瓣钳夹术的应用不仅提升了手术安全性,更打破了高龄、心功能差患者的治疗壁垒。随着器械迭代与术式优化,越来越多“不可能手术”的患者正迎来新的生机。
来 源丨心血管内科
通讯员丨肖樱 朱文青
编 辑丨陈颖
校 对丨李晶 朱文青
审 核丨叶国红 周阳