新闻中心
近日,长沙市中心医院(南华大学附属长沙中心医院)泌尿外科成功为一名年轻女性患者实施腹腔镜微创手术,精准解除了其因“肾盂输尿管连接处狭窄”导致的严重左肾积水。术后患者恢复迅速,次日即顺利参与重要求职面试并获得录用,“原本担心手术会错过这次面试机会,没想到第二天就能正常行动!”患者感慨道。这场与时间赛跑的微创治疗,让健康复位与人生机遇实现双重抵达。
患者张柔(化名)今年24岁,是一名即将毕业的硕士研究生。近半年来,她偶尔感到左侧腰部隐隐作痛,那种感觉像是运动后的肌肉酸胀,时有时无。学业繁忙的她,以为是久坐或疲劳所致,并未放在心上,只是偶尔热敷缓解。真正让她警觉的,是上月的单位入职体检。在做腹部B超时,医生告诉她:“你的左肾肾盂区域有个很大的无回声区,考虑是巨大囊肿或重度积水,必须尽快去大医院检查。”
“肾积水?”这个陌生的词让张柔心里一沉。她立即来到长沙市中心医院泌尿外科门诊就诊。CT三维重建清晰显示,她的左侧肾盂被尿液撑得像一个巨大水囊,肾皮质已被压迫变薄;而进一步的“逆行尿路造影”明确了病因——肾盂与输尿管连接的“关口”出现严重狭窄,造影剂通过艰难,上游的肾脏已长期“泡”在积液中。

“你的腰痛很可能就是积水导致肾脏撑大、包膜受牵拉引起的。”医生指着影像耐心解释,“这个狭窄就像水管源头打了个死结,水排不出去,肾脏长期‘憋着’,功能会慢慢受损。”
直到这一刻,张柔才把过去半年的不适与这个严峻诊断联系起来。那并非简单疲劳,而是身体发出的、被她忽略的警报。更令她焦虑的是,她已经通过一家心仪公司的初试,最终面试就在一周之后。她带着紧张与希望,住进泌尿外科一区病房,决定尽快手术。
面对张柔的病情与紧迫的面试安排,泌尿外科一区团队在主任傅发军的带领下制定了周密的微创手术方案。术前影像提示,其肾盂输尿管连接处可能受一条异位血管压迫。团队决定施行“腹腔镜左侧肾盂输尿管成形术”。术中,周建军主任医师通过几个微小切口,巧妙经自然组织间隙抵达病灶区域,避免传统手术需大面积游离肠道的过程,最大程度减少了对腹腔的干扰。术中探查发现,一条横跨的异位血管紧紧压迫输尿管,这正是导致狭窄的“元凶”。医生精细解除了血管压迫,修剪扩张的肾盂,重新吻合尿路通道,彻底疏通了“堵塞点”。

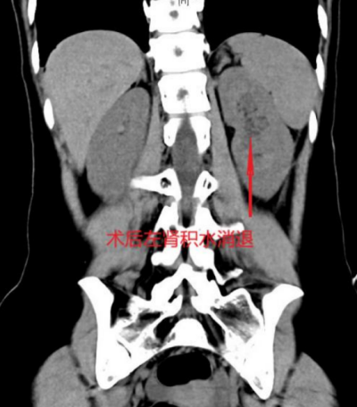
得益于微创手术创伤小、疼痛轻的优势,结合加速康复外科理念,张柔术后恢复顺利。手术当天即可下床活动,次日经评估拔除引流管,复查显示其左肾积水显著消退,肾功能逐步恢复,腰部不适基本消失。张柔精神状态良好,最终如期参加面试并成功获得心仪职位。
泌尿外科一区主任、主任医师傅发军表示,肾盂输尿管连接处狭窄是导致肾积水的常见原因之一,起病可能隐匿。市民若出现持续或反复的腰部胀痛、不明原因发热或尿路感染等情况,应及时就医排查。目前,腹腔镜等微创技术已能成熟治疗此类疾病,具有精准、康复快、美观等优势,能有效保护肾功能,帮助患者尽快回归正常生活与工作。
来源丨泌尿外科
通讯员丨万仁君 高琳
编辑丨陈颖
校对丨李晶 朱文青
审核丨傅发军 周阳