新闻中心
肺癌免疫治疗两年多后病情稳定,谁料一场突如其来的“致命肺炎”却将李明章(化名)推入呼吸ICU。危急关头,长沙市中心医院(南华大学附属长沙中心医院)呼吸与危重症医学科团队精准锁定“真凶”——罕见的迟发性、重症免疫检查点抑制剂相关肺炎,迅速扭转“战局”。
春节前夕,重获新生的李明章李老师不仅步行送来锦旗,更带来一份饱含深情的特殊谢礼:他亲手制作的非遗针织作品。

锁定“真凶”:迟发性免疫肺炎诊断的生死时速
67岁的李明章表示,自己是大学非遗研究学者,两年前确诊肺腺癌后开始接受免疫检查点抑制剂治疗,病情一度得到良好控制。今年初,他因剧烈咳嗽、严重呼吸困难辗转多家医院,诊断为“重症肺炎”、呼吸衰竭,经尝试各种积极治疗无好转、一度在ICU需要纯氧维持,生命垂危,曾悲观绝望想放弃治疗回家。
抱着最后一丝希望,李明章辗转至长沙市中心医院呼吸与危重症医学科救治。该科副主任朱锦琪、梁伟军及团队高度警觉免疫治疗病史可能带来的并发症,详细追溯他两年的免疫治疗用药记录,对其近期肺部CT影像进行反复对比和深入研判,认为其符合免疫检查点抑制剂相关肺炎(CIP)的典型表现,确诊其为迟发性、重度(4级)免疫检查点抑制剂相关肺炎。

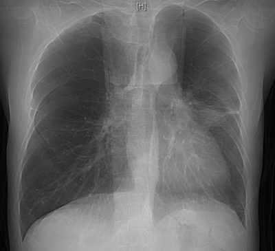
免疫检查点抑制剂相关肺炎4级
明确诊断后,患者的治疗迎来关键转折点,团队迅速调整方案,启动大剂量糖皮质激素抗炎治疗,治疗效果立竿见影。患者的病情显著改善,氧合指数稳步上升,呼吸困难症状明显缓解。经过精心治疗,他在进入呼吸重症监护室一周后便转入呼吸科普通病房;10天后复查胸部CT,显示肺部弥漫性病变明显吸收好转,顺利出院。后续的定期随访复查也证实其肺部状况持续向好。

双肺病变持续吸收
重生献礼:非遗锦囊里的深厚谢意
临近春节,已基本恢复正常的李明章精神饱满地步行到长沙市中心医院呼吸二区及呼吸重症监护室感激他的救命恩人,亲手将承载着深深谢意的锦旗赠送给朱锦琪、梁伟军及呼吸科医护团队,还带来了自己精心制作、体现其非遗研究领域特色的手工针织作品。“是你们专业精准的诊断和及时有效的治疗,让我重获新生,能继续从事热爱的非遗工作。”这份独特的礼物,不仅承载着他对医护人员的感激,也象征着其生命活力的回归。

“肿瘤免疫治疗的广泛应用,为无数中晚期肺癌患者带来了长期生存的希望。这类药物通过激活患者自身的免疫系统来攻击肿瘤细胞。但有时,被过度激活的免疫系统可能会‘敌我不分’,攻击正常的肺组织,从而引发肺部炎症,这就是免疫相关性肺炎。”呼吸与危重症医学科主任、主任医师杨红忠表示,该疾病可能发生在用药的任何阶段,像近期救治的李明章一样,在用药两年多才出现,容易与感染性肺炎、慢阻肺急性加重、肺结核等混淆,诊断极具挑战性。即使治疗看似稳定或已结束,患者和家属也绝不能掉以轻心。
杨红忠强调,识别早期症状至关重要。接受过免疫治疗的患者,无论当前是否仍在用药,一旦出现新发或持续加重的干咳、活动后气短(气促)、胸闷或不明原因的发热,应立即就医。
来源丨呼吸与危重症医学科
通讯员丨周作人 汤雪
编辑丨陈颖
校对丨李晶 朱文青
审核丨杨红忠 周阳