新闻中心
3岁的乐乐(化名)因患有罕见的先天性内耳畸形,自幼便生活在无声世界中。近日,长沙市中心医院(南华大学附属长沙中心医院)耳鼻咽喉头颈外科冯永教授团队克服了脑脊液“井喷”等多重难关,为乐乐成功实施了双侧人工耳蜗植入术,为孩子打开有声世界的大门铺就了道路。
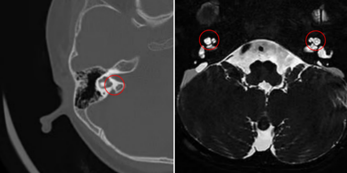
乐乐出生即被确诊为“先天性重度感音神经性聋”,佩戴高端助听器一年多,语言发育仍无进展。父母慕名找到了长沙市中心医院冯永教授。经过详细问诊与系统评估,冯永教授判断,乐乐残存的听神经尚有潜力,而“人工耳蜗植入”可能是唯一的解决方案。然而,术前的影像学检查揭示了一个更复杂的挑战:乐乐患有典型的Mondini畸形(耳蜗仅发育1.5圈,仅为正常人的一半)合并大前庭导水管综合征。这种复杂的内耳结构异常,使得人工耳蜗植入手术的难度和风险呈几何级数上升。

耳蜗Mondini畸形,耳蜗仅为正常人的一半
冯永教授介绍,正常耳蜗形似蜗牛壳,是声音信号转化为神经信号的核心。而乐乐的耳蜗不仅结构不完整,其异常扩大的前庭导水管还像一个随时可能“决堤”的通道,术中极易发生脑脊液“井喷”,即内淋巴液大量涌出,这是耳科手术中最凶险的情况之一。此外,电极如何精准植入发育不全的耳蜗、能否有效刺激听神经,都是摆在团队面前的难题。

面对这四大难关——解剖结构变异、脑脊液“井喷”风险、电极定位困难、神经反应不确定性,冯永教授带领团队进行了周密的术前规划和精心的手术准备。手术中,医生在乐乐耳后打开一个微小切口,当在畸形的耳蜗上进行造孔时,正如术前预期,出现了脑脊液“井喷”。冯永教授沉着应对,待压力稍减后,凭借精湛的技术,将纤细的电极精准地植入了仅1.5圈的耳蜗内,并迅速用自体组织牢固封闭了造孔。术中神经反应监测显示,电极与听神经成功建立有效连接,这标志着手术最关键的步骤已成功完成。

手术的成功仅是第一步。约一个月后,乐乐的人工耳蜗将迎来“开机”时刻。届时,他将首次感知到这个世界的声响。尽管最初的声音可能如同“机器人说话”,但在专业的听觉言语康复训练下,他有望逐渐理解声音、学会说话,最终融入正常的社会生活。
冯永教授表示,“这个病例也再次证明,Mondini畸形等复杂内耳畸形并非人工耳蜗植入的绝对禁忌证。关键在于术前的精准评估、针对畸形结构设计的个体化手术方案,以及对脑脊液漏等并发症的有效预防与处理。”冯永教授提醒,6岁前是儿童听觉中枢发育的黄金期,对于确诊为重度、极重度耳聋且佩戴助听器无效的患儿,应尽早到具备相应技术能力的专业医疗机构进行评估,以免错失最佳的听觉重建时机。
此外,人工耳蜗植入已于2025年被纳入国家医保集采,进口设备价格从30万元大幅降至10万元以内,国产设备进入6万元区间,医保报销比例最高可达70%。随着医疗技术的突破与普惠政策的落地,我国每年有超过3万名聋儿正迎来人生的新“声”。长沙市中心医院耳科中心致力于遗传性耳聋的基因解码与临床转化,可为类似复杂病例提供从手术到康复、从诊断到遗传咨询的全周期健康服务。
专家简介
冯永(门诊时间:每周一下午)博士,一级主任医师,二级教授,博士生导师。现任长沙市中心医院(南华大学附属长沙中心医院)耳鼻咽喉头颈外科首席专家,儿科罕见病教育部重点实验室副主任,南华大学耳鼻咽喉头颈外科研究所所长。中南大学湘雅医院耳鼻咽喉科原主任,“湘雅名医”,享受国务院政府特殊津贴。冯永教授是湖南省首批高层次卫生人才“225”工程-医学学科领军人才,兼任湖南省遗传学会罕见病专业委员会主任委员,中国医疗保健国际交流促进会耳内科学分会副主任委员等职务。先后在国际上克隆了包括ABCC1、TMEM43等5个致病基因,在 PNAS、Genet Med 等国际知名学术期刊发表SCI论文 90 余篇,主持国家自然科学基金面上项目10项,863 计划 1 项,973 计划子课题 1 项,卫生部部属(管)医院临床学科重点项目 1 项等项目。先后培养博士研究生31人,硕士研究生28人,博士后1人。获国家科技进步奖二等奖1次、湖南省科技进步奖二等奖2次,中国医师协会耳鼻咽喉科分会“名医奖” 等荣誉称号。
杨中纯(每周二上午)博士,副主任医师,中国康复医学会听力康复专业委员会委员,中国医疗保健国际交流促进会肿瘤整形外科学分会委员,湖南省健康管理委员会耳鼻咽喉头颈外科分会委员,湖南省妇幼保健与优生优育协会耳鼻咽喉保健委员会委员,长沙市医学会耳鼻咽喉头颈外科分会委员,长沙市中西医结合学会耳鼻咽喉头颈外科专业委员会委员。曾进修于解放军总医院、孙逸仙医院,主攻耳显微手术、耳内镜手术等,擅长耳科疾病的诊治。参与省、市级科研6项,发表论文10余篇。
龚巍(每周四上午)博士,主治医师,熟练掌握耳鼻咽喉头颈外科常见、多发疾病的诊治,主攻耳科疾病的基础与临床研究工作。担任湖南省健康服务业协会耳鼻咽喉保健分会常务理事兼秘书长,湖南省妇幼保健与优生优育协会耳鼻咽喉保健专业委员会青年委员兼秘书,南华大学耳鼻咽喉头颈外科研究所秘书。主持长沙市科技局及院级重点项目各1项,作为主要参与者参与国家自然科学基金面上项目4项,省厅级项目多项,发表SCI及中文核心期刊论文十余篇。
来源丨耳鼻咽喉头颈外科
通讯员丨刘贤霖 高琳
编辑丨陈颖
校对丨李晶 朱文青
审核丨周定刚 周阳